犬歯の埋伏歯とは?原因・影響・治療法について詳しく解説
歯並びやかみ合わせのトラブルの中でも、特に「犬歯の埋伏」は注意が必要です。犬歯は見た目や機能に大きく影響する歯で、埋伏するとさまざまな問題を引き起こす可能性があります。今回は、犬歯の埋伏歯とは何か、原因や影響、治療方法、注意点について詳しく解説します。
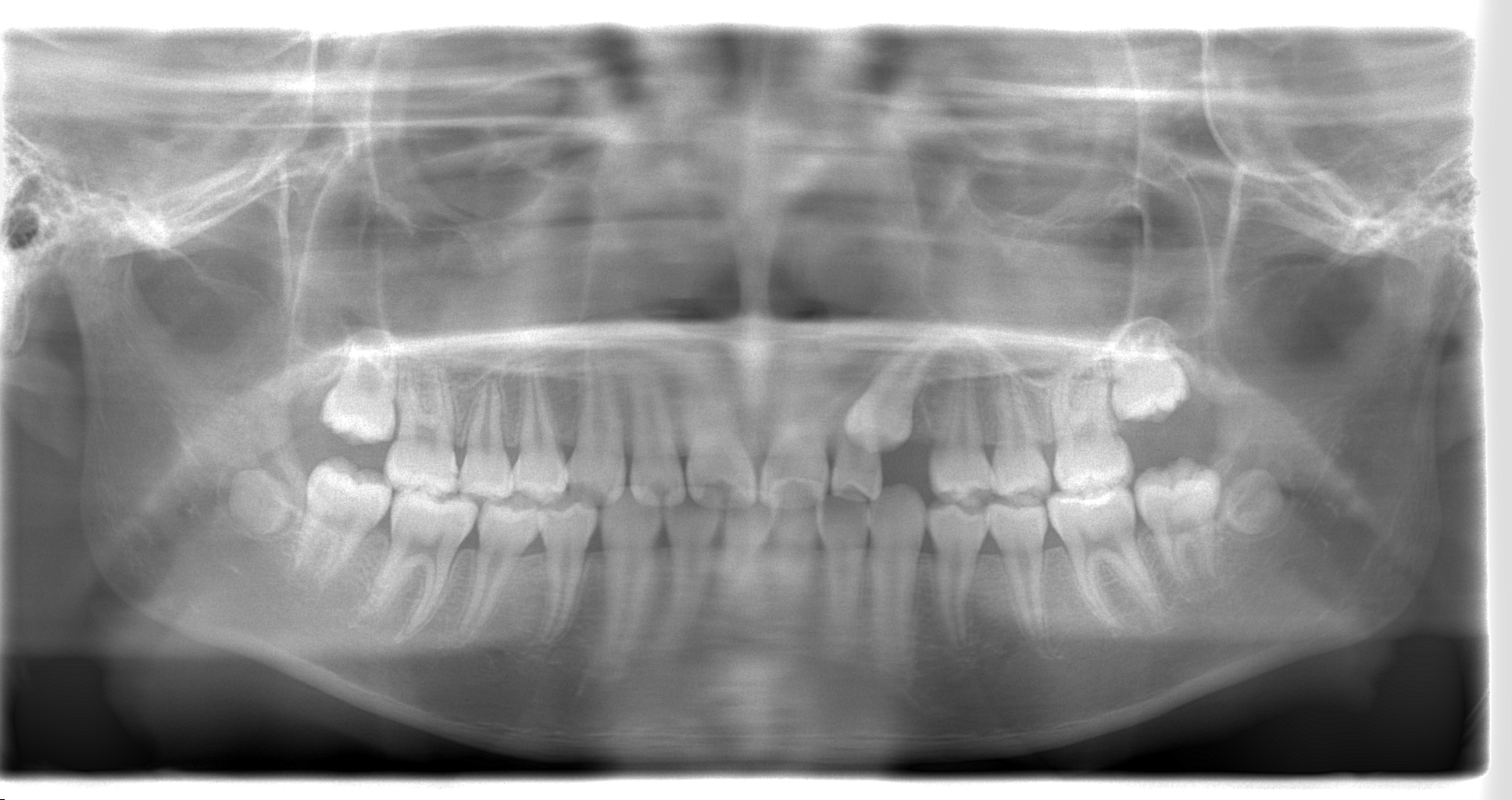
✨犬歯の埋伏歯を正常な位置に誘導しました✨
10歳の女の子、前歯が出ている・少しガタガタが気になるとのことで来院。
犬歯が埋伏していたため、
🦷 外科処置で開窓を行い
🦷 ブラケット装置で牽引
を行いました。
🦷 症例情報
・10歳 女児
・主訴:前歯が出ている、ガタガタ
・治療内容:ブラケット装置+MFT
・治療期間:13か月
犬歯の埋伏歯とは
犬歯は上下の歯列の中で、前歯と小臼歯の間に位置する重要な歯です。上顎の犬歯は特に「笑顔の印象」や「噛む機能」に大きく関わります。
埋伏歯とは、歯が生えてくるべき時期になっても歯茎の中に埋まったまま出てこない歯のことを指します。特に犬歯は、永久歯の中でも埋伏しやすい歯の一つです。埋伏犬歯は、レントゲンで確認されることが多く、外からは見えないため気づかれにくいこともあります。
埋伏歯が起こる原因
犬歯が埋伏する原因はさまざまです。主な原因としては以下の通りです。
-
顎のスペース不足
顎が小さく、犬歯が生えるスペースが足りない場合、歯が正しい位置に生えられず埋伏してしまいます。 -
乳歯の早期脱落や残存
犬歯の前の乳歯が早く抜けすぎたり、逆に抜けずに残っていると、犬歯が正しい位置に生えにくくなります。 -
歯列の異常・歯の形態異常
過剰歯(余分な歯)が存在する場合や、犬歯自体の形や大きさが異常な場合も埋伏の原因となります。 -
舌癖や口腔習慣の影響
舌を前に押し出すクセ(舌癖)や、口呼吸などの習慣があると、犬歯を含む前歯列の生え方に影響を与えることがあります。
埋伏歯が与える影響
犬歯が埋伏したままだと、さまざまな問題が起こることがあります。
-
歯並びへの影響
埋伏犬歯は隣の歯を押して傾けたり、ガタガタの原因となることがあります。特に前歯の美しいラインを乱す要因になります。 -
噛み合わせへの影響
犬歯は咀嚼時に重要な役割を持つため、正しい位置に生えていないと噛み合わせが不安定になり、長期的に顎関節や咀嚼機能に影響することがあります。 -
嚙み合わせ異常による二次的問題
不正咬合が原因で、発音障害や口呼吸、歯磨きのしにくさによる虫歯・歯周病リスクの増加なども考えられます。
埋伏犬歯の治療方法
犬歯の埋伏は自然に出てくることは少なく、適切な治療が必要です。治療法は、年齢や埋伏の状態、歯列の状況によって異なります。
1. 外科処置と矯正による牽引
埋伏犬歯が歯茎や骨の中にある場合、外科処置で歯を露出(開窓)させ、その後ブラケット矯正などの装置を使って正常な位置に牽引します。
この方法は、歯を抜かずに正しい位置に配列できる可能性が高く、特に成長期のお子さまに適しています。
2. MFT(口腔筋機能療法)
舌や唇のクセを改善することで、犬歯を含む前歯列の正しい位置への誘導がしやすくなります。MFTを併用することで、治療効果を安定させることができます。
3. 装置を使った矯正治療
場合によっては、ブラケット装置やマウスピース矯正を組み合わせて、犬歯を引っ張りながら全体の歯並びを整えます。
治療のタイミングと注意点
犬歯は永久歯の中でも重要な歯であるため、早期発見・早期治療が非常に大切です。
-
年齢の目安:上顎の犬歯はおおむね10歳前後で生えるため、この時期にレントゲンで確認することが推奨されます。
-
放置のリスク:放置すると隣接する歯にダメージを与えたり、歯並びが複雑に乱れることがあります。
-
治療期間:外科処置と矯正を組み合わせた治療は、個人差はありますが6か月〜18か月程度が目安です。
まとめ
犬歯の埋伏は、歯並びや噛み合わせ、見た目に大きく影響する重要な問題です。
-
原因は顎のスペース不足や乳歯の状態、歯列や舌癖など
-
放置すると歯並びの悪化や噛み合わせ異常、二次的トラブルの原因に
-
治療は外科処置+矯正牽引+MFTの組み合わせが効果的
早めに矯正歯科で確認・相談することで、歯を抜かずに正しい位置に誘導できる可能性が高まります。お子さまの歯並びや前歯の位置が気になる場合は、早めの相談をおすすめします。
