こんにちは🌞歯科衛生士の熊谷です🐻🪥
毎日、歯磨きしているのに歯医者さんにいくと磨けてませんと言われる方や、歯と歯垢(プラーク)は色が似ているのでどれが汚れなのか?とてもわかりづらいですよね…。
そんな方におすすめなのがプラークチェックジェルです✨
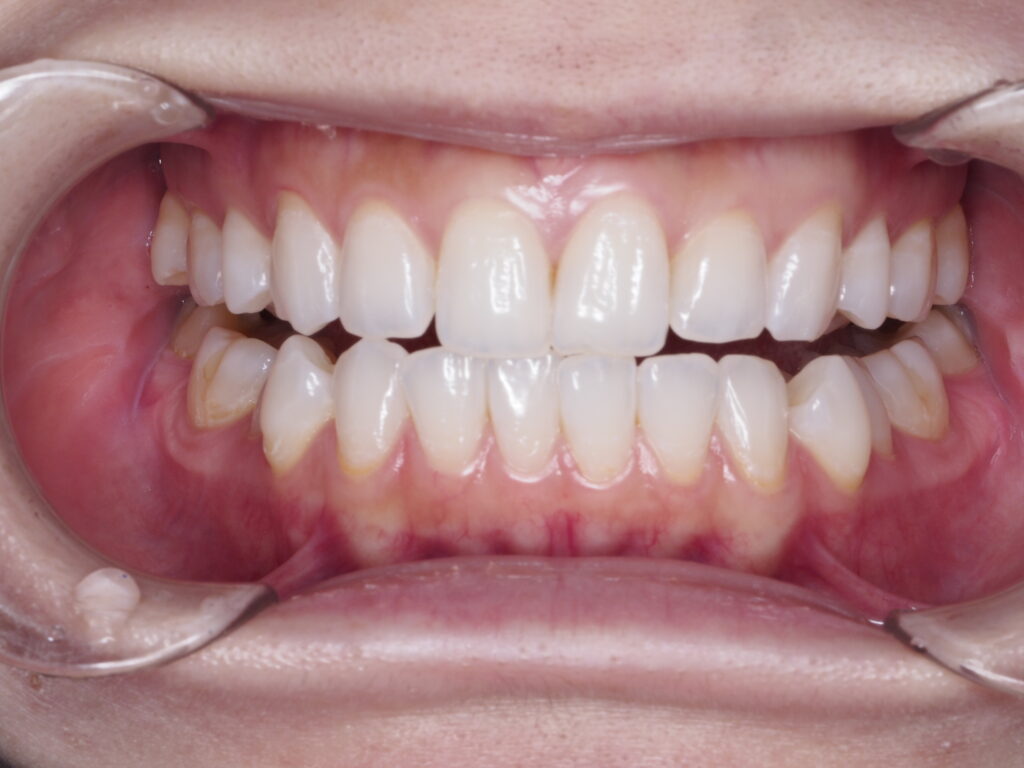
一見綺麗なお口の中ですが

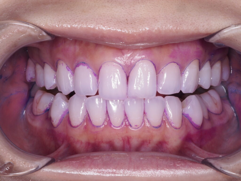
汚れを染め出してみると…

歯と歯茎の間に磨き残しがありますね😳‼️
汚れを染め出すことにより、磨き癖の発見や
汚れが色でわかるので、どこに歯ブラシを当てたらよいのかまだ分からない、歯磨きがうまく出来ないお子様には特にお使いいただけるアイテムだと思います❗️
当院で好評販売中です✨
詳しい使い方はスタッフまで🪥